High Intensity Focused Ultrasound (HIFU)
Key Points
- Ultrasound waves can be focused in a fashion that heats tissue to the point that localized coagulative necrosis occurs, preserving the integrity of surrounding normal tissue.
- The process, called focused ultrasound (FUS) or high intensity focused ultrasound (HIFU) has been successfully applied to various tissues and tumors under ultrasound (ultrasound-guided focused ultrasound; USgFUS) or magnetic resonance imaging (MR guided focused ultrasound; MRg FUS).
- For leiomyomas both MRgFUS and USgFUS have been approved in many countries and jurisdictions for targeted therapy, thereby preserving the uterus.
- Although there are accumulating data describing successful pregnancy following treatment of leiomyomas with HIFU, the role for these techniques in the treatment of leiomyoma-related infertility, or for women otherwise planning pregnancy, is unclear.
- Further research will be necessary to determine which leiomyoma phenotypes are appropriately treated with HIFU in the context of infertility or when future pregnancy is anticipated.
Principles of HIFU Leiomyoma Ablation
High intensity focused ultrasound (HIFU) tissue ablation is based upon the excellent penetrability of ultrasonic waves in the human body and the ability to focus those waves on the targeted tissue. The temperature of the tissue is raised to approximately 65℃ (149º Fahrenheit) resulting in coagulative necrosis as the mechanical effect of the ultrasound waves is converted into heat (Figure 1). Lynn et al. first introduced the conception of non-invasive HIFU treatment in the 1940s. However, successful clinical applications awaited the development of suitable techniques with which to target [Lynn, 1942]. Now, HIFU is performed under either ultrasound or MRI guidance allowing the precise targeting that, minimizes or avoids trauma to the adjacent or normal surrounding tissue.

Equipment
The equipment and procedure setting depend on the technique used, either Ultrasound guided HIFU (USgHIFU) or Magnetic Resonance guided HIFU (MRgHIFU) that will vary depending on national and regional regulatory approval and the specific medical center. Where both are available, leiomyoma phenotype and other patient-specific features may dictate the technique selected.


For both MRI and ultrasound guidance, the FUS ablation system converts standard alternating polarity electrical current into mechanical oscillation at an ultrasonic frequency via an ultrasound transducer. Then, the resulting ultrasonic waves are focused onto the target tissue to raise cellular and tissue temperature to the point where tissue necrosis occurs. Treatment efficacy can be evaluated in real time according to gray-scale changes in ultrasound images[MM1] , providing feedbacks for the adjustment of treatment dose, and monitoring the treatment process. A motion control system maintains the patient's position with a fixing device on the treatment bed and drives the movement of the ultrasonic transducer to treat tissue in different locations. According to the requirements of "Thermal Ablation", HIFU treatment equipment must meet the conditions of real-time monitoring and conformal treatment, and in principle, achieve one-time ablation of the targeted tissues (Zhang, 2015) [MM1]
Video 1. Ultrasound-Guided High-Intensity Focused Ultrasound (USA-HIFU
This video demonstrates the procedure table, the ultrasonic wave generator at the apex of the parabolic reflector, and the remote operator's view of the treatment.
Patient Selection
When leiomyomas are thought to be contributing to clinical symptoms, the FIGO-defined phenotype can define those patients more suitable for image-guided HIFU ablation. It is to be remembered that the role or impact of HIFU on fertility or pregnancy has not been adequately evaluated, particularly with respect to leiomyoma phenotypes. Consequently, Type 0, 1 and 2 lesions that are best treated hysteroscopically should be removed transcervically. Those potentially appropriate for HIFU include FIGO types 1 and 2 that are not suitable for hysteroscopic removal, and symptoatic Type 3-6 and Type 8 lesions up to 20 cm in mean diameter. Type 7 leiomyomas (where the pedicle is less than 10% of the mean diameter, or where there is no intramyometrial component of the tumor) should be removed surgically due to slow absorption of the necrotic tissues and slow reduction of fibroids after USgHIFU treatment. For fibroids larger than 20cm in diameter, surgical intervention is recommended.
Patients Unsuitable for HIFU
- Comorbidities such as uncontrolled hypertension, history of cerebrovascular incident, history of myocardial infarction, severe arrhythmia, heart failure and liver failure
- Acute inflammation of the pelvis or reproductive tract
- Known or suspected malignancy of the uterine cervix, uterine corpus (including sarcoma and endometrium), ovaries or other elements of the reproductive system
- Absence of a safe acoustic pathway, including severe scars with an acoustic attenuation width of >1.5 cm preventing sonographic visualization of posterior tissue.
- Patients who are unable to lie prone for 1 hour under analgesic sedation
Preprocedure Patient Preparation
Gastrointestinal Preparation
Since the gastrointestinal (GI) tract may appear in the acoustic pathway during therapy, three days of GI preparation is necessary. The patient is instructed to limit their dietary restrict to foods that are low in fiber and non-gassy. One day prior to FUS, the diet is limited to non-lactose containing liquids, and fasting is required for 12 hours before treatment. The patient is instructed to self-administer an enema before treatment on the day of the procedure.
Skin Preparation
Preparation of the skin is necessary to avoid residual microscopic air bubbles in the skin hair follicles, which may cause skin damage during USg-HIFU. First, and after the patient is in the procedure room and positioned on the HIFU table hair is shaved from the upper border of the pubic symphysis to the navel, and on either side to the anterior axillary line. Then, the skin is prepared with degassed water and 75% alcohol to degas and degrease, respectively.
Controlling the Volume in the Urinary Bladder
A urinary catheter is inserted before treatment. so that the size of the bladder can be controlled by perfusing normal saline or releasing urine as needed during HIFU, creating a safe acoustic pathway.
Oxytocin [MM1]
The use of oxytocin during USgHIFU treatment is to facilitate the results of sanitation by reducing the blood supply to the uterus and myometrium by simulating contractions of uterine smooth muscle. Contrary to previous perceptions, Chinese investigators have found that under certain conditions, oxytocin causes contractions in non-pregnant uterus [Huang, 2011]. In our center, 40 units of oxytocin are added to 500ml of 5% dextrose solution and delivered in a continuous IV drip at 20-30 drops/min. If an oxytocin test (?) is performed before USg-HIFU, the concentration shall be adjusted according to the response of the fibroid to oxytocin.[MM1]Would you like this
Description of the Procedure
Targeting
The patient lies in the prone position with a soft mattress protecting weight-bearing parts. The body position is fixed after analysis by the machine-loaded imaging system guiding the targeting. The location, size and ultrasound imaging features of the fibroid, the 3 dimensions of the fibroid and its adjacency with surrounding structure and tissue are defined[MM1] .SonoVue® is a proprietary intravenous contrast agent that is recommended before and after USg-HIFU for ultrasound imaging to achieve satisfactory ablation. Imaging before USgHIFU is to assess the blood supply to the fibroid(s) and to estimate treatment dosage, while the purpose of post-treatment imaging is to evaluate the completeness of the ablation, allowing the operator to retreat inadequately ablated areas.
Formulation of the Ablation Treatment Plan
The initial guiding image is the sagittal view that provides a critical positional relationship between the targeted lesion and the surrounding tissues. A stratified treatment plan is made with a slice spacing of 5 mm, based on the left-right or upper-lower diameter of the target tumor. The scanning range is the left-right or upper-lower diameter of the target tumor, plus 5 mm at both ends. The purpose of increasing the range is to better specify the boundaries of the lesion and determine the scope of treatment (Orsi, 2010; Zhang, 2015).
Anesthesia
HIFU treatment is performed under intravenous sedation and analgesia. The degree of sedation should allow the patient to tolerate the unpleasant treatment process, while maintaining sufficient cardiopulmonary function and capability of responding to language and light stimulation.
Treatment Technique Summary
The therapist selects an appropriate section or area to start the treatment, usually the largest tumor section plane. [MM1] A trial dose should be tested at the time of the first treatment at each slice in deep regions or when a higher dose is about to be applied at any dot. If adverse events occur (e.g. pain that radiates into the lower extremity, pain in the perineum), treatment dosage should be adjusted accordingly. The purpose of treating from deep to shallow regions is to ensure the complete ablation of the deeper regions of the tumors with sufficient energy (Orsi, 2010). The treatment duration varies significantly depending on the size, number, location, type, and blood supply of the fibroid(s). Current data show that the total treatment time for most patients is less than 2 hours. For a small number of difficult cases, considering treatment safety and patient tolerance, the total sonication time should not exceed 3,500 seconds (or approximately 58 minutes) for a single treatment. As suggested previously SonoVue® may be used to evaluate inadequately ablated areas for additional sonication.
Endometrial Protection
For patients with fertility needs, special attention should be paid to the protection of the endometrium during HIFU ablation. During treatment, the distance between the focal point and the endometrium should be greater than 1.5cm, with a treatment frequency of 1-second sonication and a 2-second rest. The ablation region should be adjusted according to the range of grayscale change to avoid damaging the endometrium.
Postprocedure Management
For outpatient HIFU treatment patients with no or minimal discomfort can be discharged following 2 hours of observation. Some patients may experience lower abdominal discomfort or vaginal discharge caused by uterine contractions, and may require rest at home for a few days. In addition, close observation is required for 2 weeks after HIFU and a follow-up plan should be in place[MM1].
Adverse Events
Skin Injury
Skin injury is common in patients who are obese or have abdominal scarring. The risk of skin injury can be reduced by adjusting the intensity of treatment and close monitoring intraprocedure skin response.
Intestinal Injury
Intestinal injury after focused ultrasound ablation is rare. An effective and preventive measure is to establish a safe acoustic pathway for treatment.
Other Adverse Events
Other rare complications include: fever, hematuria, and secondary infection.
Imaging Outcomes




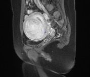
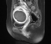
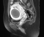
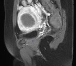
Figure 4. (A-D). Contrast-enhanced MRI obtained from a 35-year old patient with uterine fibroid. (A). Pre-HIFU MRI showed a significant enhancement of a uterine fibroid located at the anterior wall of the uterus, and the size of the fibroid was 5.6 cm x 4.6 cm x 4.9 cm; (B).1-day post-HIFU MRI showed no enhancement of the treated fibroid, the uterine fibroid was completely ablated; (C). 4-month post HIFU MRI showed the size of the treated fibroid reduced to 5.0 cm x 4.3 cm x 4.2cm, the shrinkage was 28.5%; (D). 10-month post-HIFU MRI showed the size of the treated fibroid reduced to 3.5 cm x 3.0 cm x 3.2cm, and the shrinkage was 73.4% compared to baseline. Images courtesy Prof. Zhang Lien.
Clinical Outcomes Including Reintervention Rates
Overall Reintervention Rates
Re-intervention is defined as any need for recurrent treatment after HIFU treatment. In a prospective non-randomised cohort study, the re-intervention rate at 12-month after HIFU treatment was 1.0% [Liu, 2018]. Another 8-year follow-up retrospective study for recurrent symptomatic uterine fibroids showed that the re-intervention rate after HIFU treatment was 0%, 3.2%, 9.5% 13.7% at 12, 36, 60, 96 months, respectively [Liu, 2020]. The treatment for re-intervention could be a second HIFU, myomectomy and hysterectomy.
Abnormal Uterine Bleeding
Pressure
Imaging [MM1]
According to the literature, the average shrinkage rate is 50%, 70%, 80% in 6, 12, 24 months after HIFU, respectively [Rodriguez 2021]
Fertility and Pregnancy
The precision of HIFU provides optimism about the treatment of leiomyomas in women planning pregnancy. Theoretically, the risk of uterine rupture during pregnancy and delivery would be less than that of myoma excision because there is no damage to uterine smooth muscle. Results from several groups of investigators have published reassuring data, suggesting that patients with fibroids, considering future pregnancy, may suitable for HIFU treatment [Rodriguez 2021, Zou 2017]. In a nonrandomized comparative study from China, USg-HIFU was associated with significantly reduced the time to pregnancy compared to myomectomy. Furthermore, the incidence of placental implantation disorders, placenta praevia and postpartum hemorrhage was lower in the USgHIFU group [Wu, 2020]. For infertility patients, a systematic review has showed that HIFU treatment might improve infertility and some infertility patients have achieved pregnancy after HIFU treatment [Anneveldt, 2021]. However, despite these data, most would suggest caution before it can be concluded that HIFU or any other thermal ablative technique should be considered the treatment of choice for those with infertility thought to be caused by leiomyomas.
Comparison of USg- and MRg-HIFU
In the US, Tempany et all initially reported the safety and feasibility of MRg-HIFU for the treatment of uterine fibroids [Tempany, 2003]. With high anatomic resolution of soft tissues and the capacity for temperature mapping, theoretically, MRg-HIFU should achieve more precise ablation of the targeted uterine fibroids. However early studies have shown that the average ablation volume [MM1] of uterine fibroids with MRg-HIFU is only around 30%. In spite of this relatively low ablation volume, partial or significant symptom relief has been achieved [Rabinovici, 2007]. However, long-term follow-up results indicate that patients with higher ablation volumes (called non-perfused volumes, or NPV) have more pronounced symptom relief and lower reintervention rates [LeBlang, 2010; Hindley, 2004]. Unfortunately, there are no existing clinical comparisons of MRg-and USg- HIFU [MM1].
International Recommendations [MM1 - need links/citations]
In recent years, several international societies and institutions have recommended HIFU for the treatment of uterine fibroids. The National Institute for Health and Care Excellence (NICE) in the UK currently recommends HIFU as an option for the treatment of uterine fibroids [NICE 2019], particularly for patients with symptomatic fibroids who wish to preserve their fertility and who have not responded to other treatments (such as medication or surgery). NICE also recommends that HIFU should only be performed by experienced practitioners in centers with appropriate facilities and equipment. The Society of Obstetricians and Gynaecologists of Canada (SOGC) states that HIFU is a promising alternative to surgery for fibroids, but further research is needed to assess its long-term safety and effectiveness. The European Society for Gynecological Endoscopy (ESGE) also recommends HIFU as a surgical alternative for the treatment of uterine fibroids. ESGE also states that more data are needed to evaluate its long-term safety and efficacy.
It is important to note that above recommendations are based on evidence from several years ago and may change as more evidence on safety and efficacy of HIFU for the treatment of uterine fibroids becomes available.
References
Anneveldt KJ, van 't Oever HJ, Nijholt IM, et al. Systematic review of reproductive outcomes after High Intensity Focused Ultrasound treatment of uterine fibroids. Eur J Radiol. 2021 Aug;141:109801.
Hindley J, Gedroyc WM, Regan L, et al. MRI guidance of focused ultrasound therapy of uterine fibroids: Early results. Am J Roentgenol. 2004;183:1713-19.
Huang X, He M, Liu YJ, et al. Effect of oxytocin on uterine fibroids treated by ultrasound ablation. Zhonghua Fu Chan Ke Za Zhi. 2011;46:412-5.
LeBlang SD, Hoctor K, Steinberg FL. Leiomyoma shrinkage after MRI-guided-focused-ultrasound treatment: Report of 80 patients. Am J Roentgenol. 2010;194:274-80.
Liu Y, Zhang WW, He M, et al. Adverse effect analysis of high-intensityfocused ultrasound in the treatment of benign uterine diseases. Int J Hyperthermia. 2018;35:56-61.
Liu X, J Tang, Y Luo, et al. Comparison of high-intensity focused ultrasound ablation and secondary myomectomy for recurrent symptomatic uterine fibroids following myomectomy: a retrospective study. BJOG. 2020;127:1422-8.
Lynn JG, Zwemer RL, Chick AJ. A new method for the generation and use of focused ultrasound in experiment biology. J Gen Physiol 1942;26:179-93.
NICE. Ultrasound-guided high-intensity transcutaneous focused ultrasound for symptomatic uterine fibroids. https://www.nice.org.uk/guidance/ipg657
Orsi F, Zhang L, Arnone P, et al. High-intensity focused ultrasound ablation: Effective and safe therapy for solid tumors in difficult locations.
Am J Roentgenol. 2010;195:245-52.
Rabinovici J, Inbar Y, Revel A, et al Clinical improvement and shrinkage of uterine fibroids after thermal ablation by magnetic resonance-guided focused ultrasound surgery. Ultrasound Obstet Gynecol. 2007;30:771-7.
Rodríguez J, Isern J, Pons N, et al. Pregnancy outcomes after ultrasound-guided high-intensity focused ultrasound (USgHIFU) for conservative treatment of uterine fibroids: experience of a single institution. Int J Hyperthermia. 2021;38:9-17.
Tempany CM, Stewart EA, McDannold N, et al. MR-imaging-guided focused ultrasound surgery of uterine leiomyomas: A feasibility study. Radiology. 2003;226:897-905.
Tsai MC, Chang LT, Tam KW. Comparison of High-Intensity Focused Ultrasound and Conventional Surgery for Patients with Uterine Myomas: A Systematic Review and Meta-Analysis. J Minim Invasive Gynecol. 2021;28:1712-1724.
Wu G, Li R, He M, et al. A comparison of the pregnancy outcomes between ultrasound-guided high-intensity focused ultrasound ablation and laparoscopic myomectomy for uterine fibroids: a comparative study. Int J Hyperthermia. 2020;37:617-623.
Zhang L, Zhang W, Orsi F, et al. Ultrasound guided high intensity focused ultrasound for the treatment of gynaecological diseases: A review of safety and efficacy. Int J Hyperthermia. 2015;31:280-4.
Zou M, Chen L, Wu C, et al. Pregnancy outcomes in patients with uterine fibroids treated with ultrasound-guided high-intensity focused ultrasound. BJOG. 2017 Aug;124 Suppl 3:30-35